InovaHC HCFMUSP
O In.lab é o laboratório de IA do InovaHC, localizado no Instituto de Radiologia (INRAD) do HCFMUSP, dedicado a desenvolver soluções inovadoras e a construir um robusto ecossistema de inovação digital em saúde.
Conheça nossos projetos
A aplicação da Inteligência Artificial (IA) na saúde brasileira enfrenta desafios significativos, como a escassez de laboratórios de pesquisa dedicados e a fragmentação de iniciativas. A interdisciplinaridade inerente à pesquisa em IA impõe desafios adicionais na formação de uma identidade unificada para os grupos de pesquisa.
O In.lab foi criado para enfrentar esses desafios, buscando um modelo adaptado ao contexto local e integrando a pesquisa de IA com as necessidades clínicas e operacionais. Desde sua fundação em 2020, o laboratório já desenvolveu mais de 40 projetos, comprovando a viabilidade de um modelo que integra frameworks de avaliação, maturidade tecnológica e a colaboração institucional para construir um ecossistema de inovação digital robusto no país.
Redução de ruído em ressonâncias magnéticas 7T, em parceria com Siemens, PISA e LCoN-Mackenzie.
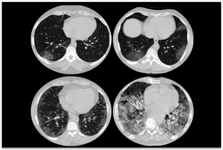
Algoritmos para análise de TC e RX para detecção de COVID-19, integrados à plataforma RadVid19.
Classificação de risco em cirurgias torácicas de câncer de pulmão usando dados clínicos e de imagem.
Automatização da detecção de câncer de mama com análise de mamografias e dados clínicos.
Plataforma colaborativa para desenvolvimento de IA em saúde sem troca direta de dados.
Desenvolvimento de um algoritmo capaz de classificar a qualidade do posicionamento de exames de mamografia.
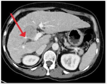
Triagem de exames de tomografia para priorizar casos suspeitos de lesões hepáticas.
Nosso sucesso é impulsionado pela colaboração. Atuamos com base no modelo da Tríplice Hélice, que une Universidade, Indústria e Governo para fomentar a inovação.


























Confira os últimos artigos e trabalhos que publicados relacionados a nossas pesquisas.
Marin Machado de Souza, R., Holm, A., Biczyk, M., and de Castro, L. N. (2024). Electronics, 13(16).
Marin Machado de Souza, R., Nunes de Castro, L., Biczyk, M., et al. (2024). DATA 2024.
Souza, R. M. M. d., Holm, A., Biczyk, M., and Castro, L. N. d. (2025). Springer Nature Switzerland.